歯を白くしたい

 審美歯科

セラミック修復

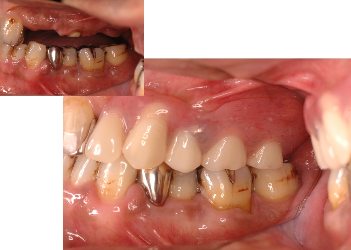
銀歯をセラミックに


 
笑った時にキラッと光る銀歯を白くきれいに修復します。自然な色調できれいに見えるだけでなく、メタルフリーで金属アレルギーの心配もありません。
当院ではセラミック修復診療にセレックシステムを導入し、症例によっては即日修復が可能です。
 
セレックについて


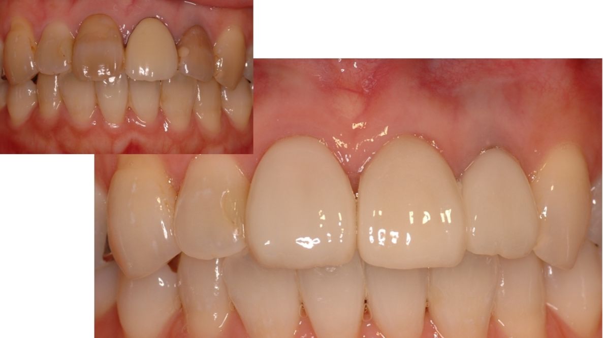
オールセラミッククラウンで前歯をきれいに


 
前歯の色、形が気になって、思いっきり笑えない・・・。といった悩みを解決できます。技工士さんによるオーダーメイドで作成したオールセラミッククラウンは、自然な口元を再現し、あなたの笑顔をより一層輝かせます。
 

ホワイトニング

ホワイトニングは、自分の歯の色そのものを漂白して白くする方法です。
ホワイトニングには、クリニックで行うオフィスホワイトニングと、ご自宅で行うホームホワイトニング、神経の無い歯のホワイトニング(ウオーキングブリーチ)があり、各種方法での施術が可能です。
初めてホワイトニングを行う方は、歯の状態のチェックやどちらの方法がより良いかなど、具体的な内容を説明いたします。どうぞお気軽にご相談ください。
 

オフィスホワイトニング


 
クリニックで行うホワイトニングです。短期間で効果を得たい方におすすめです。20~40歳までの方、軽度から中等度までの歯の黄ばみの方に向いています。

当院のオフィスホワイトニングはGC TiON office(ティオン オフィス)というホワイトニング機器を導入しております。TiON officeはLED技術を使った最新のシステムで、効果が早く、安全性に優れ熱を出さないオフィスホワイトニングです。このシステムは、上顎下顎合わせて2時間程度で完了します。
 

ホームホワイトニング


 
ご自宅ででじっくり行うホワイトニングです。 開始後2~4週間で効果を得られます。オフィスホワイトニングと比べて効果が現れるまで時間がかかりますが、その分、後戻りが少ない方法です。

ホームホワイトニングは、濃度の低い薬剤を使うため、白くなるのに多少時間がかかりますが、薬が深く浸透するため、白さの限界点が広がり、白さも長期間保持できます。オフィスホワイトニングのメンテナンスとしても有効です。
 

神経の無い歯のホワイトニング


 
神経の無い歯は、通常のホワイトニングでは効果が出にくく、ウオーキングブリーチという方法でホワイトニングを行います。通常、2週間程度で効果が出ますが、術前に根の再治療が必要となる場合があります。1歯単位での施術が可能です。
 

バネの見えにくい義歯

 審美義歯

ノンメタルクラスプ義歯

バネの見えにくい審美義歯


 
表から見える部分にはデュラフレックスという特殊な素材を使用して金属のばねをなくし、表から見えにくい内側の部分には金属を使用して義歯の素材を可能な限り薄く小さくすることで、審美性を大きく向上させ、装着時の違和感・しゃべりにくさを大幅に減少することができる義歯です。
症例には適応がありますのでご相談下さい。
※審美義歯は保険外診療です。
 
 

インプラントオーバーデンチャー

少数のインプラントを支えに使用した審美義歯


 
少数のインプラントと入れ歯を組み合わせて、かみ合わせを回復させる治療です。通常インプラントは、失った歯の本数に準じた数が必要ですが、この方法は少数のインプラントを支えに入れ歯を入れるため、手術侵襲が少なく、安定した入れ歯を入れることが可能となります。また、入れ歯を極力小さくし、バネをなくして、見た目にもきれいな義歯が入ります。