神経を取らない・削る量は最小限の治療
ドックスセメント
♦Doc’s Best Cement(ドックスベストセメント) 治療

Doc’s best cement(ドックスベストセメント)治療とは?
虫歯になった所にドックスベストセメントという薬を詰めて治す治療です
ほとんど、麻酔を使わず、最小限の切削で治療が行います。
ミネラルの力で虫歯菌を不活化させ、自身の再生能力を引き出して治癒能力を高める薬です。
成分に銅、亜鉛、リン、鉄、アルミ、酸化チタンなどが含まれ、銅が殺菌作用の主をなし、
他のミネラルは虫歯で感染した歯の再生に使われます。
銅は、昔から殺菌法のひとつとして幅広く用いられ、
微量でも殺菌力が強いことが知られています。
抗生剤などの薬剤ではなく、ミネラル成分による虫歯菌の殺菌作用により虫歯を治します。
適応
♦痛みのない少し進んだ虫歯
通常なら、むし歯の部分をすべて取るため大きく歯を削ります。
ドックスベストセメントを使用することで、虫歯菌の部分をほとんど削り取る必要性はないので、
大事な歯を、極力削らないで済ませることができます。
また、神経の上の自分の歯をほとんど削らないので、歯がしみにくいというメリットがあります。
♦痛みはないが、神経まで達する深いむし歯の場合
⇒通常の治療では・・
歯の中にある神経をすべて取って、取った後の部分に神経の代わりになるゴムの詰め物をします。
⇒ドックスベストセメントでは・・
むし歯菌の感染部分を全部取ってしまうと神経が出てしまいますので、神経まで達しているむし歯の部分を除去しないで、お薬を詰めます。
ドックスベストセメントのメリットとデメリット
①ドックスベストセメントのメリット
☆神経を取らなくてはならない大きなむし歯の神経を取らないで済ませることができる。
(神経を取ると一般に歯の寿命が短くなる)
神経はかなり複雑な形をしており特に根尖部(根の先の部分)が複雑になっていると、どんなにしっかりと神経をとってもまた痛みや歯ぐきの腫れが生じやすいと一般に言われています。
神経を取った後、再発して痛みや腫れが生じた時には、再治療できれば良いですが抜歯になってしまう可能性も高いのです。
(この方法での治療後、痛みが生じても再度神経を残して再治療できる場合もあります。)
神経に達していない中等度のむし歯の場合でも、虫歯菌を削り取らないので、大切な歯を削る量が非常に少なくて済む。)
特にお子様の若い永久歯のむし歯には最適な治療方法です。
人が一生、自分の歯で過ごすには歯を70年、80年と維持しなくてはなりません。
生えそろってから何年も経っていないお子様の永久歯。その頃から神経の処置まで必要なむし歯の治療をすると、どうなるでしょうか?
前述しましたように、神経を取ると歯の寿命は短くなりますので、その後、数十年も維持するのは困難と言わざるを得ません。
「一生できるだけ長く自分の歯で暮らす」そういう観点から、極力、神経をとらないで済むドックスベストメントは
お子様に最適な治療方法であると考えております。
☆治療回数が少ない。通常2~3回
一つ軽い治療になるので、一般に歯の寿命が延びる。
(万一、治療後痛みが生じた時には、その時に通常の神経を取る治療ができる。)
☆薬ではないので、お薬にアレルギーのある方にも安心して使用できる
☆ドックスベストセメントをいれた部分は、永続的な殺菌効果が期待できる。
ドックスベストセメントのデメリット
・保険診療ができない (詰め物も自費治療になります)
・虫歯菌に罹患している部位や量、状態等によって、この治療が出来ない場合があります。
例)ズキズキと痛みがある場合など…
・歯の中の虫歯菌は治療できますが、むし歯にならない歯にする訳ではありません。
・通常の適切な歯みがきを怠ると、治療部分は治っていても、違う箇所から新たなむし歯が発生します。
・治療後も半年に一回の定期的な歯科検診が、欠かすことが出来ません。
実際の症例

治療前です 下の奥歯が著しく崩壊しています
本来なら神経を取る治療を行うと思いますが、ドックスセメントにて神経の保護をはかりました
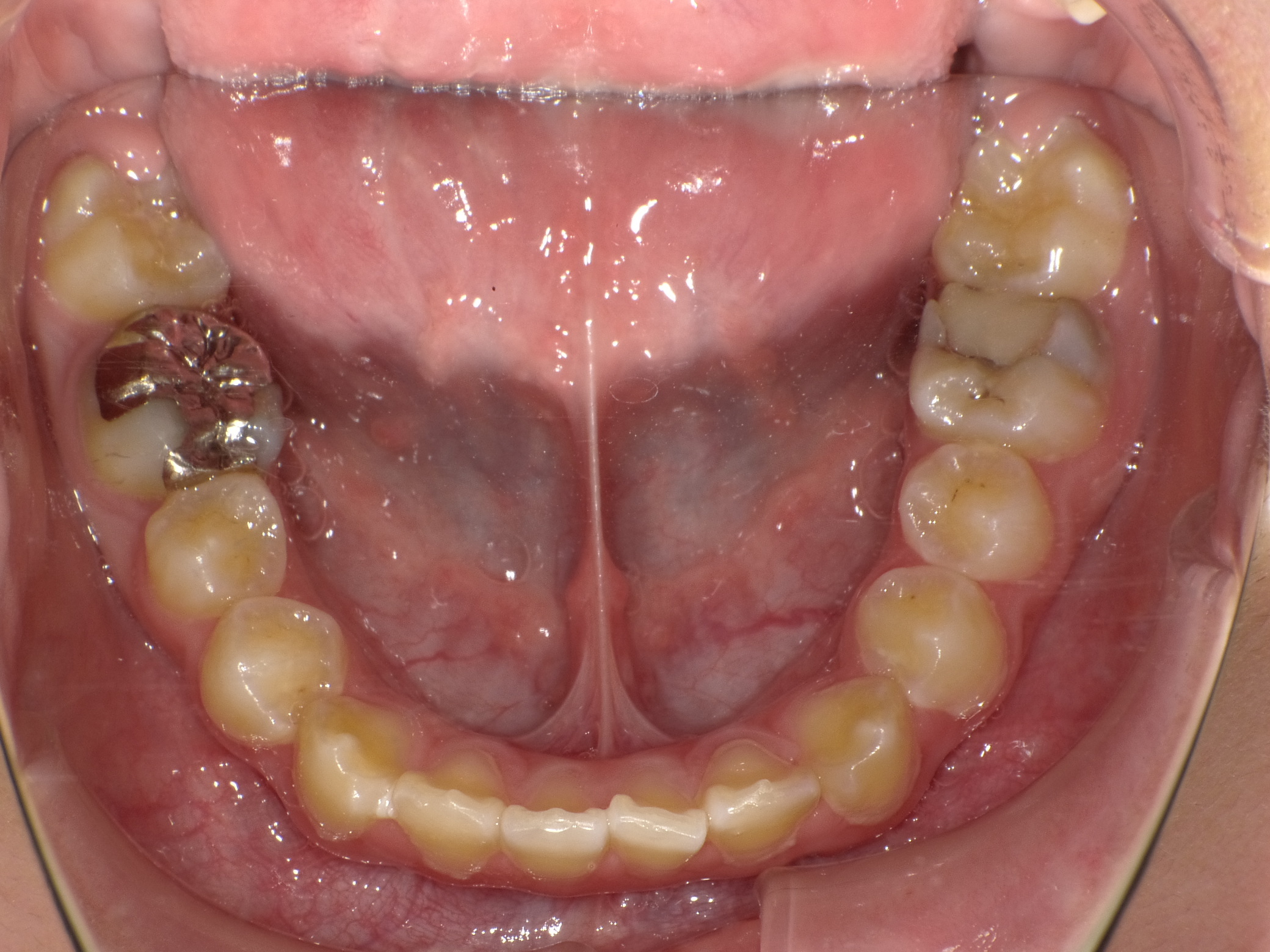
ドックスセメントを充填後です
経過を見たのち順次銀歯をはめていきました
自発痛などもなかったため経過は良好ですが、糖質制限や定期メンテナンスの継続が必須です
「治療法はたくさんあっても診断は一つ」と言われるほど、診断は重要です。










